Porcelain Crowns
Applied Procedures:
Porcelain Crowns
![]() |
![]() |
| Before Photo | After Photo |
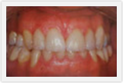
Applied Procedures:
Porcelain Crowns
![]() |
![]() |
| Before Photo | After Photo |
![]() |
![]() |
| Before Photo | After Photo |








